Ortodonzia linguale

Ortodonzia Linguale: l’Apparecchio Dentale Linguale

Anni fa, nel lontano inizio del 900, furono inventati i primi apparecchi dentali.

In origine sembrava assurdo già riuscire a spostare i denti con un apparecchio dentale! Oggi le cose sono andate molto avanti! Da sempre quando si pensa ad apparecchio dentale si pensa solo alle piastrine esterne, ma in pochi sanno che oggi esiste anche un’altra soluzione: l’apparecchio dentale linguale!

Oggi giorno, grazie alla maggior conoscenza ottenuta e al maggior utilizzo di tecnologia nel settore odontoiatrico è nata una nuova tecnica ortodontica: l’ortodonzia linguale!

 

Con l’ortodonzia linguale chi proprio delle piastrine non ne vuole sapere ha una valida alternativa!

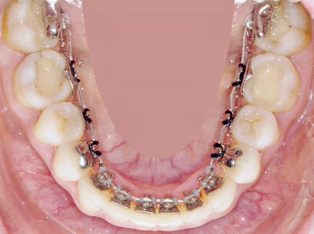
Le piastrine ortodontiche (brackets) vengono applicate sul lato linguale dei denti e non più sul lato esterno. In questo modo il trattamento ortodontico sarà completamente invisibile!

È possibile risolvere quasi tutti i casi, anche quelli più complessi!

Se desideri un trattamento completamente invisibile allora il trattamento linguale potrebbe fare al caso tuo.

Alcune delle domande che i nostri pazienti che hanno intrapreso un trattamento con l’apparecchio linguale ci fanno:

L’apparecchio linguale fa  più male quando si parla o si mangia rispetto a quello esterno?

No, i primi giorni appena si mette è un po’ fastidioso, poi una volta che ci si abitua non da più fastidio! In particolare rispetto all’apparecchio esterno il fastidio è circa sovrapponibile.

È completamente invisibile l’apparecchio interno?

Si, a differenza degli allineatori è del tutto invisibile! È il trattamento più invisibile che esiste al giorno d’oggi!

Che differenza ha un apparecchio linguale rispetto ad un trattamento esterno?

Le piastrine sono costruite ad hoc, fatte ognuna per il dente specifico sul quale viene attaccata. I fili sono piegati da sofisticati robot a controllano numerico, così i movimenti dentali sono controllati grazie al controllo tecnologico che contraddistingue questo trattamento!

Sei interessato a risolvere i tuoi problemi dentali e vuoi avere più informazioni su questo tipo di trattamento? Allora prenota una visita per parlare con il nostro specialista!

Dove siamo? A Castel San Pietro Terme, Osteria Grande e Forli!

Autore dell’articolo: Dottor Filippo Lama

Vuoi maggiori informazioni?


    Acconsento al trattamento dei dati personali (privacy).

    Sede Castel San Pietro Terme

    • Piazza Garibaldi, 8 40024 Castel San Pietro Terme (Bo)

    Sede di Osteria Grande

    • Via Emilia Ponente 6065 40060 Osteria Grande (Bo)

    Sede di Forlì

    • Via Giorgina Saffi, 7 47121 Forlì (FC)

    Da più di 30 anni

    Ci dedichiamo con passione alla cura della salute orale. Esperienza, passione ed innovazione si uniscono in uno staff mosso da un solo desiderio: la ricerca dell’eccellenza.

    Follow us

    Dove Siamo

    • Castel San Pietro Terme
      Piazza Garibaldi, 8 40024 Castel San Pietro Terme (Bo) Tel. 051 942810

    • Osteria Grande
      Via Emilia Ponente 6065 40060 Osteria Grande (Bo)
      Tel. 051 945740

    • Forlì
      Via Giorgina Saffi, 7 47121 Forlì (FC)
      Tel. 0543 24917

    Terapie e trattamenti

    Copyright © 2019 Studi Dentistici Dott.ri Lama-Calcina - P. IVA 00668351208. Tutti i diritti riservati.